La
displasia del gomito è una patologia dello sviluppo, che colpisce molte razze
canine, tra le più diffuse colpite da questa patologia annoveriamo: il Pastore
tedesco, Labrador e Golden Retriever, Bovaro del Bernese e tutti i cani di
grande mole (senza dimenticare il Bulldog Inglese), e molte altre razze che per
brevità non citiamo.
Il
termine “displasia del gomito” in realtà è piuttosto impreciso, ma viene ormai
comunemente usato per indicare un “poker” di patologie che hanno come causa comune
la crescita disarmonica di due dei tre segmenti ossei che compongono
l’articolazione, il Radio e L’Ulna, che con i loro capi articolari prossimali
concorrono alla formazione di un'unica superficie articolare che accoglie i
condili omerali. Le quattro alterazioni che descriviamo in seguito sono la
conseguenza di un ritardo della crescita di uno dei due capi ossei (radio o
ulna) rispetto all'altro.
Altri
fattori predisponenti e coadiuvanti l’insorgenza e la progressione della
patologia sono l’osteocondrosi, patologia che colpisce le cartilagini di
accrescimento e ne impedisce la corretta trasformazione in tessuto osseo (più
predisposte le razze condro-distrofiche come Bulldog, Bassotti, altri Molssoidi
e Brachimorfi), diete ipercaloriche e iperproteiche con eccessivo apporto di
calcio e vit.D, che portano spesso ad avere soggetti in accrescimento con un
peso eccessivo.
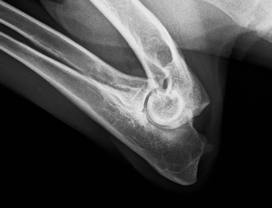
La
diagnosi di questa patologia solitamente è radiologica e viene effettuata
mediante l’individuazione di uno o più dei seguenti segni:
Incongruenza articolare (INC): è
considerata la lesione principale e può essere causa delle altre tre lesioni.
Causata dal disarmonico “allungamento” tra i due capi ossei Radio e Ulna che
alla fine della loro crescita (verso il 7° mese di vita) non raggiungono la
stessa lunghezza. Tale situazione provoca un alterato allineamento delle facce
articolari che concorrono alla formazione della superficie articolare distale del gomito, provocando la formazione di uno “scalino”
sulla superficie articolare. Questa situazione può essere più o meno marcata
durante l’accrescimento e provocare dolore e quindi zoppia. Tale situazione può
risolversi spontaneamente con il completamento della crescita ossea ed
assistere ad un “agguagliamento” dei capi articolari al termine della crescita,
per così dire sul fil di lana, ed alla conseguente scomparsa dello scalino (o
comunque ad una sua significativa riduzione) e conseguente cessazione del
dolore articolare e della zoppia. Quando ciò non accade ci troviamo di fronte a
due situazioni differenti, con la formazione di differenti lesioni associate, a
seconda che a subire il ritardo di crescita sia l’uno o l’atro capo articolare.
Mancata Unione del Processo Anconeo (UAP):
è la lesione provocata dal ritardo di
crescita dell’osso ulnare, il quale presenta un becco (il Processo Anconeo)
che gira dietro al condilo omerale e lo “aggancia” dando stabilità al gomito.
La sua minore lunghezza rispetto al Radio fa si che questi (in fase di
accrescimento) spinga il condilo omerale contro il Processo Anconeo non ancora
saldato nella sua cartilagine di accrescimento. Questa spinta dinamica e
continua non permette al P.A. la tranquillità necessaria per saldarsi e quindi
si ha la formazione di una pseudoartrosi o Mancata Unione. Un'alterazione concomitante che si può osservare è la curvatura del radio.
Frammentazione del Processo Coronoideo
(FCP): al contrario questa lesione è provocata dal ritardo di crescita dell’osso radiale, questa situazione fa si che
la superficie articolare di pertinenza del radio non arrivi a compartecipare,
con la superficie ulnare, alla formazione della base di appoggio del condilo
omerale (perché il radio rimane corto), lasciando che sia solo la superficie
ulnare a sopportare tutto il peso dell’arto. Fisiologicamente i pesi sono
distribuiti (all’incirca) per il 70%
circa sul capitello radiale e solo il 30% circa sul Processo Coronoideo. Questo
comporta un sovraccarico sul comparto mediale dell’articolazione del gomito e
la conseguente rottura del Processo Coronoideo.
Osteo-Condrite Dissecante (OCD) del
condilo mediale: il sopracitato sovraccarico e la forza di concussione
del condilo mediale dell’omero sul P.C., in alcuni casi, ha come risultante una
lesione del microcircolo della cartilagine, ciò provoca la necrosi ed il
distacco della stessa dall'osso sottostante provocando una Osteo-Condrite
Dissecante. La lesione può essere reperita da sola (OCD) o associata a FCP, in
questo caso si parla di Kissing Lesion
(KL).
La
presenza di queste quattro lesioni principali in un gomito, porta ad artrosi
dell’articolazione, con la formazione di altre lesioni secondarie che sono
frutto della reazione del periostio al processo infiammatorio cronico. Queste
lesioni secondarie sono rappresentate da Osteofiti
che possono essere presenti sul capitello radiale o sul P.A. e dalla Sclerosi Subcondrale percepita come una
radio-opacità della parte ossea del capitello radiale ed solco trocleare
ulnare.
La classificazione IEWG :
Diagnosi e Terapia: La diagnosi
di una patologia ortopedica deve essere effettuata secondo un protocollo
preciso, che prevede innanzi tutto una visita clinica attenta e scrupolosa
volta ad evidenziare eventuali altre cause di zoppia di natura NON Ortopedica, che possono esse
anche concomitanti alla patologia ortopedica stessa. La necessità di sottoporre il
paziente ad un esame radiologico effettuato in sedazione o leggera anestesia
per ottenere immagini di qualità soddisfacente per una diagnosi accurata,
impongono al medico una scrupolosa indagine sullo stato di salute del paziente
da sottoporre all'esame radiologico.La
diagnosi si ottiene mediante l’individuazione di uno o più segni radiologici
sopra descritti. La
terapia è correlata al tipo di lesione da trattare tenendo presente che questa
è una patologia degenerativa. Essa non è in grado di arrestare la progressione
della patologia, ma ha lo scopo di rallentarne il decorso e mitigarne i
sintomi.
La
terapia medica, è effettuata con antinfiammatori non steroidei (FANS) e
integratori alimentari contenenti sostanze in grado di stimolare la riparazione
delle cartilagini e fisioterapia. Questa permette di ottenere ottimi risultati
clinici, come la riduzione/scomparsa del dolore, il riacquisto della mobilità,
fino alla riparazione delle lesioni cartilaginee di modica entità.
La
terapia chirurgica, ha due scopi: correggere o modificare le
alterazioni che causano il dolore e l’artrosi (osteotomie ulnari) o eliminare
le alterazioni articolari che causano dolore (pulizia articolare). In entrambe
i casi lo scopo è rallentare la progressione della patologia.
Quale tecnica
applicare è compito del ortopedico e va valutata caso per caso a
seconda della gravità dell’alterazione, età del cane al momento del
riconoscimento della patologia, tipologia e carattere del soggetto e altre
considerazioni più specifiche.